Karaman’da kusma ve solunum sıkıntısı şikâyetiyle hastaneye getirilen 6 aylık bebeğin boğazına kaçan kumanda pili, yapılan acil müdahale ile çıkarılarak hayati tehlike önlendi.
Yayın Tarihi: 07-01-2026
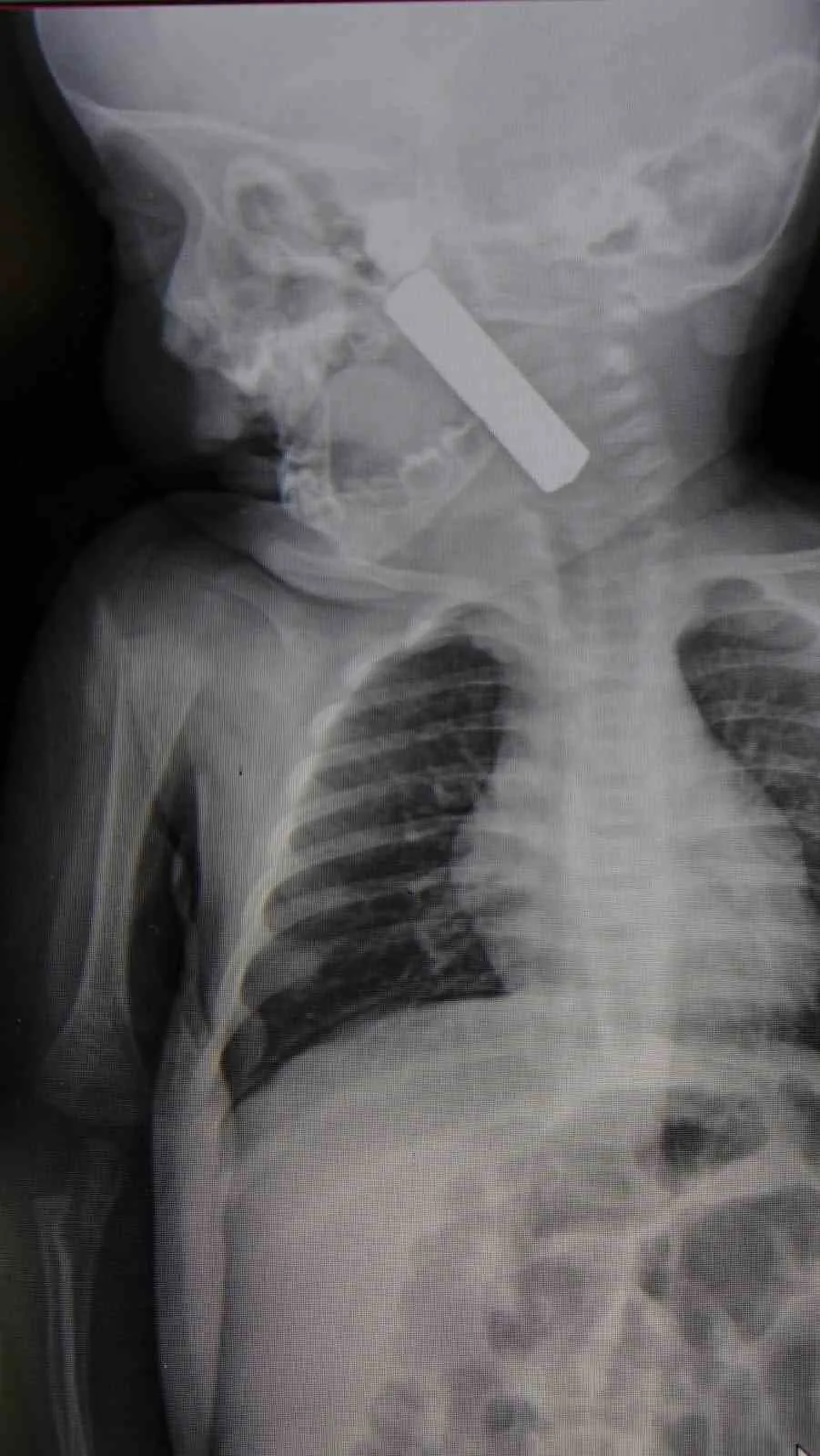
Karaman’da 6 aylık bebeğin boğazına kaçan kumanda pili, ameliyatla çıkarıldı. Edinilen bilgiye göre, kusma şikayeti ile ailesi tarafından Karaman Eğitim ve Araştırma Hastanesi acil servisine getirilen 6 aylık E.A. isimli kız bebeğin, yapılan muayene ve tetkiklerde boğazında kumanda pili kaçtığı tespit edildi. Solunum sıkıntısı da yaşayan bebek hemen ameliyata alındı. Çocuk Cerrahisi Uzmanı Doç. Dr. Mehmet Uysal tarafından yapılan ameliyatla bebeğin boğazındaki pil çıkarıldı. "Hemen müdahale ettik" Yaşanan olayla ilgili bilgi veren Doç. Dr. Mehmet Uysal, "Acil polikliniğimize kusma şikayeti ile 6 aylık bir kız bebek getirilmiş ve bize haber verildi. Biz de vakit kaybetmeden geldik, hastamızı gördük. Yapılan tetkikler sonucunda, ağız tabanına oturan ve yemek borusunun birinci darlığına kadar uzanan, kumanda pili dediğimiz bir pille karşılaştık. Filmde ve muayenede bunu gördük. Hastayı ilk gördüğümüzde bayağı siyanotik durumda, solunum sıkıntılıydı ve oksijen satürasyonu 90 civarındaydı. Böyle olunca bir an önce beklemeden hızlı bir şekilde ameliyathaneye götürdük. Orada ameliyathanedeki anestezi uzmanlarımız ve personel bize yardımcı oldu, hasta hızlı bir şekilde entübe edildi. Ondan sonra da laringoskop ve magill forseps dediğimiz malzemelerimizle bu yabancı cismi çıkarmış olduk. Bir an evvel müdahale ettik, iyi ki müdahale ettik, orada ağız tabanında, özellikle ön kısmında hasar oluşmuştu. Müdahale sonrasında da hastanın solunum problemleri bir süre devam etti, bu yüzden 24 saat takip ettik. Herhangi bir problem oluşmayınca 24 saat sonra kontrole gelmek üzere hastayı taburcu ettik" diye konuştu. "Aileleri uyarıyoruz" Ailelere uyarılarda bulunan Doç. Dr. Uysal, "Bu konularda aileleri uyarıyoruz. 1 yaş altı çocuklarda bile bu durum oluşabilir. Bazen 2-3 yaş diyoruz ama 1 yaş altındaki çocuklarda da emekleme döneminde bile bu tür yabancı cisimleri, özellikle kumanda pili, kalem pil gibi şeyleri ortada bırakmamak lazım. Çocuklar meraklı olduğu için her şeyi ağzına götürmeye meyilli. Dikkat etmediğimiz takdirde ölümcül sonuçlar oluşabiliyor. Bu vakada şanslıydık, çocuktaki durum erken fark edildi ve hemen müdahale edildi. Şu anda çocuk sağlıklı bir şekilde hayatına devam ediyor" dedi.
Karaman’da devriye gezen polis ekiplerini fark eden kimliği belirsiz bir sürücü, altındaki motosikleti yol kenarına terk ederek yaya olarak kayıplara karıştı. Polis ekiplerinin motosiklette yaptığı incelemede şoke eden detaylar ortaya çıktı.
Karaman’da bir günlük temsili askerlik uygulamasından yararlanan 16 özel birey, İl Jandarma Komutanlığı'nda düzenlenen görkemli törenle Türk bayrağı ve silah üzerine el basarak yemin etti. Gençlerin askerlik gururuna aileleri de ortak oldu.
Karaman merkeze bağlı Seyithasan köyünde, iki kişi arasında çıkan tarla sulama tartışması silahlı kavgaya dönüştü. Tüfekle vurulan 48 yaşındaki adam hayatını kaybederken, ormanlık alana kaçan katil zanlısını yakalamak için bölgeye komando timleri sevk edildi.
Karamanoğlu Mehmetbey Üniversitesi (KMÜ) Teknik Bilimler Meslek Yüksekokulu öğrencileri, düzenlenen görkemli bir törenle mezuniyet gururu yaşadı. Ailelerin ve üniversite yönetiminin yoğun katılım gösterdiği törende, genç meslek profesyonelleri geleceğe ilk adımlarını attı.
Karaman’da yağmur nedeniyle kayganlaşan yolda kontrolden çıkan kargo minibüsü, bir evin bahçesinde park halindeki otomobilin üzerine devrildi. Kazada yaralanan sürücünün imdadına, o sırada yoldan geçen sağlık meslek lisesi mezunu bir motokurye yetişti.
Karaman’da Ahmet Yesevi Caddesi üzerinde yolun karşısına geçmeye çalışan 81 yaşındaki Ali Osman G., seyir halindeki bir otomobilin çarpması sonucu yaralanarak hastaneye kaldırıldı.
Karaman’da seyir halindeki bir motosikletin sürücüsünün direksiyon hakimiyetini kaybetmesi sonucu devrildiği anlar saniye saniye güvenlik kamerasına yansıdı. Kazada metrelerce sürüklenen sürücü yaralandı.
19 Mayıs Atatürk’ü Anma, Gençlik ve Spor Bayramı, Karaman’da gençlerin, sporcuların ve vatandaşların yoğun katılımıyla büyük bir coşku içerisinde kutlandı. Kent meydanı renkli gösterilere sahne oldu.
Karaman’da yapımı devam eden yeni çevre yolu projesinde malzeme taşıyan hafriyat kamyonunun şarampole devrilmesi sonucu sürücüsü yaralandı. Yan yatan kamyondan çıkarılan sürücünün durumunun iyi olduğu öğrenildi.
Karaman’da tarlada çalıştığı esnada kolu traktörün dönen şaft mekanizmasına sıkışan bir kişi ağır yaralandı. Talihsiz çiftçinin imdadına ilk olarak eşi koştu.